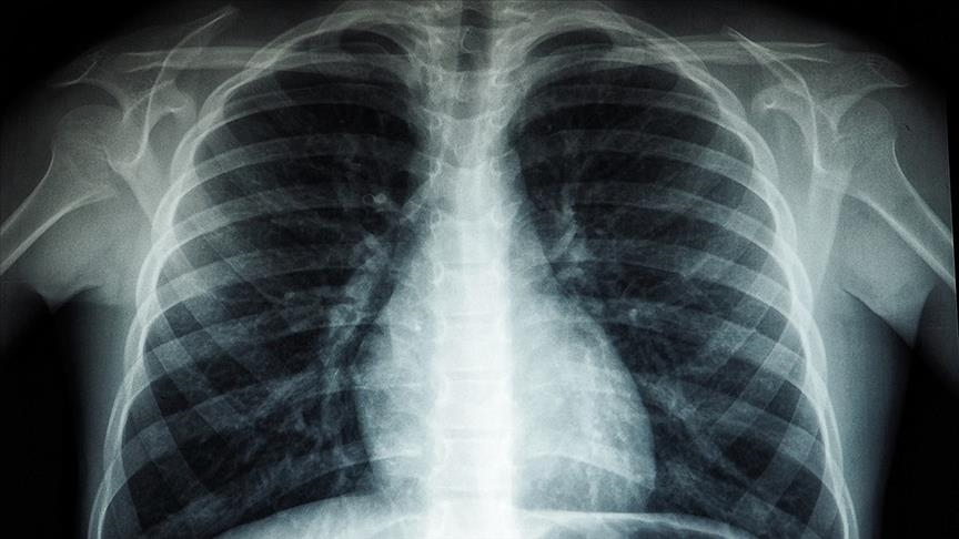
OBSH: Tuberkulozi, sëmundja infektive më vdekjeprurëse në botë16:35:56 2025-11-26ShareLAJMET KRYESORENis ndërtimi në parkun më të madh të akullit dhe borës në botëNdërtimi në shkallë të plotë i parkut më të madh të akullit dhe borës në botë, “Harbin Ice-Snow World”, filloi të martën në Harbin, kryeqendra e provincës Heilongjiang të Kinës Verilindore.26-Nov-2025LAJME TË NGJASHMEProkurorët kinezë kanë dënuar me burgim të përjetshëm mbi 500 të pandehur për dhunë në familje gjatë 5 viteve të funditProkuroria më e lartë e Kinës tha të martën se më shumë se 500 të pandehur në raste penale të dhunës në familje janë dënuar me burgim të përjetshëm ose dënime të rënda gjatë pesë viteve të fundit. Prokurorët kinezë kanë rritur mbikëqyrjen mbi trajtimin e rasteve të dhunës në familje për të mbrojtur26-Nov-2025Prokurorët kinezë kanë dënuar me burgim të përjetshëm mbi 500 të pandehur për dhunë në familje gjatë 5 viteve të funditKina lëshoi gati 2.5 miliardë certifikata të energjisë elektrike të gjelbër në janar-tetorTË TJERA NGA CGTNStuhia dimërore përfshin Gjermaninë, duke shkaktuar katër viktima1Stuhia dimërore përfshin Gjermaninë, duke shkaktuar katër viktima2Klima e biznesit në Gjermani dobësohet përsëri3Rusia thotë se plani i paqes i BE-së për Ukrainën është jokonstruktiv4OKB ngre alarmin: Një grua vritet çdo 10 minuta në botë